La ricerca e l’impegno di Novartis: frenare la malattia e migliorare la qualità della vita
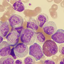
Una platea di 100mila pazienti nel mondo, circa 9mila in Italia. La leucemia mieloide cronica, rara forma di tumore del sangue, è responsabile del 15% del totale dei casi di chi è affetto dalla proliferazione incontrollata di globuli bianchi nel sangue. Grazie allo sviluppo di terapie basate sulla somministrazione di inibitori tirosin-chinasici, nel tempo la prognosi per i pazienti è nettamente migliorata. Se in passato l’aspettativa di vita si aggirava intorno ai 5-7 anni, oggi chi è colpito da questa tipologia di leucemia ha la stessa aspettativa della popolazione generale. Spesso, però, accade che i pazienti sviluppino intolleranza o resistenza ai farmaci di prima e seconda linea. Il solo modo per evitare che la malattia progredisca verso stadi più avanzati è ricorrere a farmaci di terza fascia. È qui che nasce e si sviluppa l’impegno di Novartis. L’obiettivo che si è posto la casa farmaceutica è intervenire in favore di quei pazienti che devono ricorrere a terapie ancor più specifiche, che si associano a minori eventi avversi e che da oggi per la prima volta vengono rimborsate in Italia dal Sistema Sanitario Nazionale. “Da oltre venti anni siamo in prima linea per trasformare il paradigma terapeutico nel campo della leucemia mieloide cronica. Asciminib è solo l’ultima testimonianza di questo impegno”, ha affermato Paola Coco, cso & Medical Affairs Head di Novartis Italia facendo riferimento al farmaco su cui si stanno conducendo studi e sperimentazioni. Sulle caratteristiche della nuova terapia è intervenuto il professor Fausto Castagnetti, docente di Ematologia all’università di Bologna. “A differenza degli altri inibitori fin qui utilizzati, Asciminib si lega in maniera altamente specifica alla tirosin-chinasi BCR-ABL1, l’interruttore che accende la malattia. Risulta quindi efficace e con un buon profilo di tollerabilità.
La fase terza dello studio ha evidenziato che dopo 24 settimane di trattamento c’è un tasso di risposta molecolare maggiore quasi doppio rispetto a un altro inibitore tirosin-chinasico: la percentuale è del 25,5% rispetto al 13,2% di un diverso inibitore. L’efficacia è confermata anche a 96 settimane, con un tasso di risposta che per Asciminib è del 37,6% mentre per altri trattamenti è del 15,8%”.
Simili risultati, seppur ancora in fase di studio, animano la comunità degli ematologi italiani, da sempre alla ricerca di terapie che possano migliorare la qualità della vita dei propri pazienti. “Una survey della Fondazione Gimema-Gruppo Italiano Malattie Ematologiche dell’Adulto, a cui hanno risposto oltre 70 istituti ematologici in tutto il Paese, ha evidenziato che l’89% dei medici utilizzerebbe la nuova terapia come trattamento di terza linea in chi sviluppa resistenza; il 98% la considera adatta anche per gli anziani proprio per la sua tollerabilità”, ha riferito il prof. Massimo Breccia, docente di Ematologia all’università Sapienza di Roma. “È importante mettere a disposizione nuove opzioni terapeutiche efficaci, ben tollerate e capaci di garantire una buona qualità di vita- ha aggiunto il professor Fabrizio Pane della Federico II di Napoli – Per i pazienti gli aspetti più importanti sono due: frenare la progressione della malattia e raggiungere una buona qualità di vita”. Due mete che la ricerca punta a raggiungere e che da oggi potrebbero essere un po’ più vicine.
